Shepperton & Surrey
Teeth Whitening
Teeth Whitening in
Shepperton & Surrey
If your teeth are dull and dis-coloured, you can bring back the sparkle with a safe and professional teeth whitening.
Eating spicy foods, drinking tea, coffee and red wine all help to make teeth become darker over time. Smoking is the worst culprit. Boutique teeth whitening is one of our most popular treatments because it is a safe, painless and fast way to whiten teeth and to give you an updated and dazzling smile.
At Shepperton dental surgery we use Boutique teeth whitening to safely lighten and brighten teeth. This treatment can be used in the comfort of your own home.
First, we make up bespoke dental trays which fit snugly over the top of your teeth. Once these are ready, we prescribe a whitening gel which are worn with your dental trays every day, usually overnight. Teeth gradually become whiter, and treatment is completed in 2 to 3 weeks.
Thousands of patients from Littleton, Walton-on-Thames, Upper Halliford, Lower Halliford, Chertsey, Shepperton and throughout Surrey are choosing to whiten teeth with Boutique teeth whitening.

Has your smile
lost its sparkle?
Teeth can lose their natural brightness over time due to what we eat and drink. Coffee, red wine, spicy foods, and smoking can all cause staining. But don’t worry! Our safe and effective teeth whitening treatment can restore your smile’s natural sparkle.
Patients from Littleton, Walton-on-Thames, Upper Halliford, Lower Halliford, Chertsey, Shepperton and throughout Surrey are choosing to have their teeth Whitened.

Enlighten Professional Whitening
Trusted by dentists across the UK, Enlighten Whitening guarantees a B1 shade—the brightest natural white—when used as directed. This two-week, dentist-supervised home system offers maximum results with minimal sensitivity.
At Shepperton Dental Care, we’ll customise the Enlighten experience to deliver safe, stunning results you can trust.
Boutique
Professional Whitening
Boutique Whitening offers powerful, professional results in the comfort of your home. Using custom-made trays and high-strength whitening gel, this system removes deep stains and brightens your smile in as little as two weeks.
Our Surrey dentists ensure a perfect fit and provide guidance throughout your treatment. It’s whitening on your terms—with long-lasting results.
White Dental
Beauty
White Dental Beauty is a clinically approved teeth whitening system that delivers impressive results with minimal sensitivity. Ideal for patients seeking a brighter, more youthful smile, this dentist-led treatment is safe and effective.
At Shepperton Dental Care In Surrey & Shepperton, we personalise your whitening plan to suit your goals and lifestyle. Book a consultation to find out more.
White Dental
Beauty Strips
Brighten your smile at home with our White Dental Beauty Strips. These professional-grade strips are safe, easy to apply, and designed to gently lift everyday stains from your teeth. With consistent use over 14 days, you’ll notice visibly whiter teeth – no mess or sensitivity.
Ask our Surrey dental team how these strips can enhance your smile quickly and conveniently.
Icon Spot
Treatment
Icon Spot Treatment is a gentle, non-invasive solution for white spots and mottling caused by fluorosis or early decay. Unlike traditional methods, Icon requires no drilling, injections, or enamel removal.
In just one visit to Shepperton Dental Care In Surrey & Shepperton, you can restore a smoother, more uniform smile—quickly and painlessly.
Benefits of Teeth Whitening
In Surrey
Boutique teeth whitening is a professional treatment and is completely safe when administered by an expert dentist.Teeth whitening is a fast, safe and affordable way to update the look of your teeth.Boutique teeth whitening is a convenient treatment carried out in the privacy of your own home that fits in with your usual routines
Your smile will soon look whiter and brighter, enhancing your confidence and giving you an even greater reason to feel proud of your teeth.
Whitening your teeth using Boutique means you can whiten teeth in the privacy of your own home at a time that is convenient to you. For most people this means whitening overnight
With Boutique teeth whitening, you can brighten your smile in the comfort and privacy of your own home, at a time that suits you. For most people, this means whitening their teeth overnight.
With Boutique teeth whitening, your treatment is supervised by a dental specialist who prescribes the correct strength and amount of whitening gel, ensuring you are in safe hands.
Professional teeth whitening is PH neutral, so it won’t damage your teeth. It’s painless and gentle on sensitive teeth too
Combine teeth whitening with Invisalign
or Teeth Bonding
More people are now paying attention to how their teeth look. This includes the shape, size and colour. If you are like thousands of other patients who are wanting to whiten teeth to improve your smile, then you could consider Boutique teeth whitening here at Shepperton Dental. The benefits include:
- Invisalign
- Cosmetic orthodontics
- Teeth bonding
Teeth Whitening After Invisalign in Shepperton
Once your teeth have been beautifully straightened by Invisalign braces, you’ll be smiling all day, every day. That’s why we suggest teeth whitening as a follow-up treatment once your Invisalign process is complete so that your smile looks as radiant and bright as you feel.
Teeth Whitening After Composite Bonding in Shepperton
Our expert dentists In Surrey & Shepperton have been applying teeth bonding resin to improve the look and feel of natural teeth for many years.
It can fill in gaps or cracks in teeth, and they use specialist colour charts to ensure the colour of the resin they use matches the colour of your natural teeth perfectly. However, it may be that you would prefer the rest of your teeth to be whiter.
This is the perfect opportunity to choose teeth whitening and lift the colour of your natural teeth here In Surrey & Shepperton & Shepperton so that the resin your dentist chooses can match the colour you would prefer your smile to be.
Teeth Whitening After
Invisalign In Surrey
After your teeth have been beautifully straightened with Invisalign, you’ll want a smile that truly shines. That’s why we recommend teeth whitening as a follow-up treatment to ensure your smile is as bright and radiant as you feel.
Teeth Whitening After
Composite Bonding In Surrey
Our expert dentists in Surrey have years of experience using dental bonding to enhance the appearance and feel of natural teeth. This treatment can fill gaps or repair cracks, with specialist colour charts ensuring the resin perfectly matches your teeth.
If you’d like a brighter smile, teeth whitening is an ideal option before bonding. Whitening your natural teeth first allows your dentist to match the resin to your preferred shade, giving you a beautifully balanced and radiant smile.
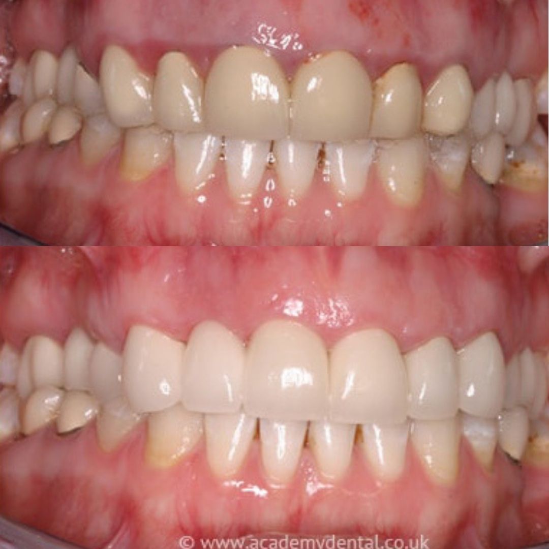
Before & After
Teeth Whitening
Teeth Whitening
Faqs
Does teeth whitening hurt?
Teeth whitening performed by a dental professional is generally pain-free. Some patients may notice mild tingling from the whitening gel, but this is harmless and temporary. If you have sensitive teeth, your dentist can recommend the most suitable whitening treatment for a comfortable experience.
Do I need to change my diet while using Boutique teeth whitening?
While using Boutique teeth whitening, it’s best to avoid dark-coloured foods and drinks for at least an hour after each whitening session. Apart from that, you can continue to eat and drink as usual.
Will teeth whitening affect my fillings?
Teeth whitening does not lighten dental restorations such as fillings, crowns, veneers, or bonding. To achieve the best cosmetic results, it’s recommended to complete teeth whitening first, then update or replace any existing restorations if needed.
Can I get teeth whitening with veneers?
Teeth whitening will not work on any restorations such as veneers, crowns, fillings, dentures or bonding. It will only work on whitening natural teeth. If you want to have any of these dental treatments, we recommend getting your teeth whitened first or update your restorations to a new shade and then whitening teeth.
How long does teeth whitening treatment last?
Teeth whitening is not permanent, and your teeth will gradually fade. How quickly this happens will depend upon your lifestyle – whether you smoke, eat spicy food or drink dark coloured liquids like coffee and red wine. Some people will need to repeat the treatment after a few months, others will need a top-up after 6 months or a year.

